
Ter desconforto respiratório com o ar poluído é comum hoje em dia. Mas você sabia que esses poluentes podem afetar as pessoas antes mesmo do nascimento? Esse alerta foi feito por um estudo publicado na revista científica Environment International, que concluiu que a poluição do ar (especialmente partículas finas PM2.5) durante a gravidez pode estar associada a uma maturação cerebral mais lenta em recém nascidos.
O trabalho foi realizado por pesquisadores do Hospital del Mar, do Instituto de Saúde Global de Barcelona (ISGlobal), na Espanha — um centro apoiado pela Fundação “la Caixa” — e da área de Epidemiologia e Saúde Pública do CIBER (CIBERESP).
Principais pontos do estudo
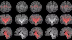
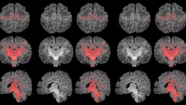
Pioneirismo: os pesquisadores afirmam que esse é o primeiro estudo a medir a mielinização cerebral neonatal no primeiro mês de vida.
Mas o que é mielinização cerebral? Esse é um processo extremamente importante em que as células nervosas serão cobertas por uma substância gordurosa chamada mielina. Isso permite que os impulsos nervosos sejam transmitidos do cérebro para o corpo.
A exposição materna a partículas minúsculas no ar (PM2.5) está relacionada com uma mielinização mais lenta, indicando uma desaceleração da maturação cerebral. É importante destacar que tanto a desaceleração quanto a aceleração excessiva da maturação cerebral podem ser prejudiciais ao desenvolvimento infantil.
Como o estudo foi realizado?
O estudo analisou partículas extremamente pequenas. Só para se ter dimensão, elas são cerca de trinta vezes mais finas que um fio de cabelo humano e compostas por elementos nocivos dos processos de combustão e compostos orgânicos tóxicos. Mas também há minerais essenciais como (ferro, cobre e zinco). O que falta ainda é descobrir como cada componente afeta o cérebro, portanto, são necessárias mais pesquisas.
Ao longo do estudo, as gestantes, que estavam fazendo pré-natal no Hospital Clínic Barcelona, Hospital de Sant Pau e Hospital Sant Joan de Déu, foram monitoradas quanto ao nível de exposição aos poluentes atmosféricos. Após o parto, 132 recém-nascidos foram selecionados, mas a ressonância foi realizada com alta qualidade em 93 casos.
Os bebês passaram por ressonância magnética antes do primeiro mês de vida para avaliar o grau de maturação cerebral por meio dos níveis de mielinização.
Quais foram os resultados?
Segundo os dados do estudo, houve uma correlação clara entre maior exposição materna a PM2.5 durante a gravidez e menor mielinização no cérebro dos recém-nascidos, tendo impacto no desenvolvimento infantil.
“A poluição do ar, especificamente o PM2.5, está associada a alterações no processo de mielinização, um mecanismo fundamental da maturação cerebral. Portanto, é essencial continuar controlando os níveis de poluição e estudar como essa desaceleração pode afetar o desenvolvimento cerebral posterior das crianças”, explica Gerard Martínez-Vilavella, pesquisador da Unidade de Ressonância Magnética do Departamento de Radiologia do Hospital del Mar.
Jesús Pujol, chefe da Unidade de Ressonância Magnética do Departamento de Radiologia do Hospital del Mar, ainda explica que nos estágios iniciais da vida, as mudanças cerebrais são grandes e complexas.
“Tanto a desaceleração excessiva quanto a aceleração da maturação cerebral podem ser prejudiciais para a criança”.
Para ele, o trabalho abre um novo campo empolgante de pesquisa voltado para determinar a velocidade ideal de maturação cerebral durante a gravidez e entender como a mãe e a placenta podem atuar como filtros eficazes para proteger e otimizar esse processo.
Apesar dos dados, os pesquisadores são cautelosos em destacar que o desenvolvimento cerebral é um processo complexo e dinâmico. “Um atraso na mielinização da substância branca não é inerentemente prejudicial, assim como a mielinização acelerada não é necessariamente benéfica”, diz o estudo.
